
Причины покраснения горла у детей
Первопричин покраснения горла у деток может быть несколько, и, соответственно, лечение в разных случаях должно быть разным. И очень важно правильно определить заболевание, иначе проводимое лечение может быть либо неэффективным, либо привести к нежелательным осложнениям. Начнем по порядку.
Вирусные или бактериальные инфекции. Их может быть несколько и позже рассмотрим каждую из них. В этом случае, конечно, без помощи доктора не обойтись.
- Переохлаждение ротовой полости. Часто бывает после приема холодных напитков или заглатывания холодного воздуха в зимнее время. В таком случае достаточно применения рецептов народной медицины.
- Прорезывание зубов, тогда красным становится весь зев ребенка. Это касается совсем маленьких деток, которые болезненно переносят этот процесс. Но лечить его обязательно, чтобы инфекция не попала в раздраженную, так называемую красную слизистую.
- Заболевания желудочно-кишечного тракта. В этом случае наблюдается не только красный цвет горла, но и присутствует налет на нем. Лечить требуется именно болезнь ЖКТ.
- Аллергическая реакция. В данном случае также нужно пролечить аллергию, тогда и покраснение пройдет.
Первая причина проявления красного горла наиболее распространенная и более опасная возможными осложнениями и требует немедленного лечения.
Вирусные инфекции
Вирусным инфекциям более подвержены дети старше года и заражение может происходить многократно, поскольку передается она контактным путем. Груднички же ограничены в контактах и у них присутствует переданный от мамы иммунитет, поэтому процент заболеваемости у них ниже.
Разновидностей вирусов несколько, это и различные штаммы гриппа, и аденовирусы, и прочее. Обычно, при вирусной инфекции появляются сопли, кашель, иногда повышенная температура, а горло краснеет без темных оттенков и без увеличения миндалин и дужек. Лечить красное горло нужно обязательно, причем чем раньше, тем лучше, поскольку к вирусам могут присоединиться бактерии и тогда последствиями могут быть еще отиты, бронхиты, пневмонии и другие осложнения.
Бактериальные инфекции
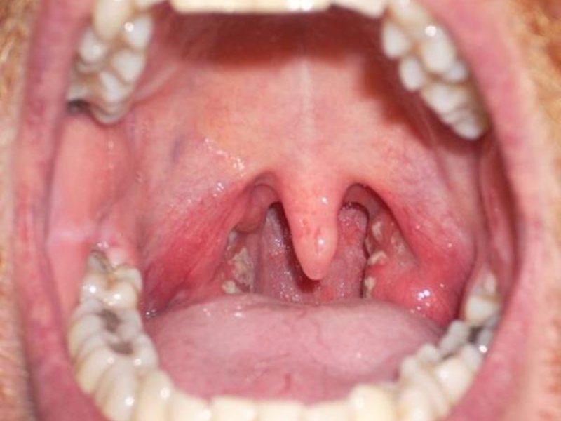
Бактериальные микроорганизмы также имеют свои разновидности. Это может быть стафилококковая инфекция (ангина), стрептококковая (ангина, фарингит, скарлатина), пневмококковая (менингит, отит, синусит, пневмония), гемофильная палочка (синусит, отит, бронхит, пневмония).
- Ангина подразумевает красное горлышко, увеличенные миндалины, кашель, повышенную температуру. Процесс глотания болезненный, возможен белый гнойный налет на миндалинах.
- Фарингит имеет практически те же симптомы, что и ангина, и на начальной стадии их сложно отличить, это боль при глотании, ощущение комка в горле, кашель, красные стенки и гнойный налет. Но лечить фарингит легче ангины.
- Тонзиллит вызывает воспаление небных миндалин, гнойные образования на них, повышение температуры.
- Скарлатина способствует покраснению не только горла, но и щек, просматриваются воспаленные точки на горле, увеличиваются лимфоузлы.
Бактериальные инфекции, в отличие от вирусных, могут поразить даже здорового человека с нормальным иммунитетом, и лечить их необходимо уже антибиотиками.
Лечение народными методами
Использование народных методов лечения в нынешнее время очень актуально, ведь они ничем не хуже лекарственных препаратов, за исключением, конечно, тяжелых запущенных случаев, когда без антибиотиков не обойтись. Кроме этого, такие способы лечения безопасны для здоровья. Но не стоит затягивать, лучше начинать лечение сразу.
- Обильное теплое питье, теплое молоко с медом. Молоко с медом можно употреблять только при отсутствии аллергии у ребенка. А вот принимать теплый чай с малиной, лимоном, клюквой или бульончик необходимо как можно чаще, они очень хорошо помогают вылечивать простуду.
- Отвар ромашки аптечной. Этим отваром можно и полоскать горло и использовать его для питья, причем даже маленьким деткам. Только малышам нужно давать его по чайной ложечке три раза в день. Если ребенок первый раз пьет ромашку, то начинать надо по половинке чайной ложки и при отсутствии отрицательной реакции организма, увеличить до необходимой дозы. После года можно пить несколько глотков тоже три раза в день. Дети постарше и взрослые должны полоскать горло несколько раз в день. Кроме ромашки, можно добавить в отвар шалфей, эвкалипт и календулу.
- Растворы с солью и содой для полоскания. Как только ребенок сможет самостоятельно полоскать горлышко, можно использовать солевой раствор. На стакан воды берется 1ч.л. соли и капля йода. Очень эффективное средство, если полоскание проводить каждые полчаса. Для содового раствора пропорции на стакан воды: 1ч.л. соли и 1 ч.л. соды. Применяется так же, как и солевой раствор с промежутками в 30 минут. Можно совместить эти растворы и добавить еще йод, или использовать их поочередно.
- Раствор фурацилина. На стакан горячей воды берем 1 растолченную таблетку фурацилина. Полоскать необходимо в теплом виде.
- Масляная настойка хлорофиллипта, масло облепихи, эвкалипта, шиповника или прополиса. Такие растворы можно использовать даже самым маленьким больным. Необходимо лишь смочить марлевый тампон и аккуратно смазать воспаленное горло карапуза за полчаса до еды. Только обязательно нужно сделать пробу, смазать небольшой участок на запястье малыша, и использовать, если нет покраснения. Таким же образом можно использовать раствор люголя.
- Капустный лист или творог. Использовать можно с раннего возраста ребенка. Творог нагревается до температуры, которая немного выше температуры тела, а капустный лист окунается в кипяток на пару минут и остужается тоже до такой температуры. Прикладывается компресс на область горла и обертывается полиэтиленовым пакетом, сверху шарфиком. Держать нужно около часа, капусту можно дольше, она, кроме согревающего эффекта, еще снимает воспаление. Но компрессы ни в коем случае нельзя применять при повышенной температуре, иначе можно не вылечить, а усугубить болезнь.
- Ингаляции. Разрешается применение детям после года. Поскольку рассматриваем народные средства, то ингаляции делаются с картошкой. Но использовать их нужно очень аккуратно, особенно с маленькими детками. Также хорошо зарекомендовали себя масляные ингаляции с эвкалиптом, облепихой или пихтой.
Применение домашних средств оправдано при лечении вирусной инфекции, а также на начальных стадиях бактериальной. В остальных случаях они лишь часть терапии, проводимой лекарственными препаратами.
Лечение лекарственными препаратами
При осложнениях и отдельных формах болезни без применения лекарств и антибиотиков не обойтись. Но назначать их обязательно должен врач после осмотра. Чем лечить красное горло до приезда доктора, рассмотрим подробнее.
- В первую очередь можно применить спрей для облегчения боли. Начиная с трех лет разрешается использование таких препаратов, как “Мирамистин”, “Гексорал” и прочее. Распылять малышам нужно не прямо на горло, а на щечки с внутренней стороны, чтобы ребеночек не поперхнулся.
- Леденцы или таблетки от боли в горле. Тут применение ограничивается способностью ребенка рассасывать их. Чаще всего используются “Доктор мом”, “Фалиминт”, “Бронхикум”. Запивать их нельзя, применять между приемами пищи.
- Для лечения респираторного заболевания необходимо пройти курс лечения противовирусными препаратами.
Все указанные выше рекомендации можно применять только в случае нормальной температуры тела. А если есть жар и заметили еще такие признаки, как вялость, тяжелое дыхание, хрипы, слизь на миндалинах, нужно срочно вызывать врача и обращаться в больницу. Ведь нет ничего важнее, чем здоровье собственного ребенка, а промедление может повлечь за собой непредвиденные и неприятные последствия.
Лечение красного горла у детей
Частые вопросы
Какие причины могут вызвать красное горло у ребенка?
Красное горло у ребенка может быть вызвано различными причинами, включая вирусные или бактериальные инфекции, аллергическую реакцию, перенапряжение голосовых связок или даже просто сухость воздуха.
Какие симптомы сопровождают красное горло у ребенка?
Красное горло у ребенка может сопровождаться различными симптомами, такими как боль при глотании, отек горла, кашель, насморк, повышение температуры тела, утомляемость и потеря аппетита.
Как можно лечить красное горло у ребенка?
Лечение красного горла у ребенка зависит от причины его возникновения. Врач может рекомендовать применение противовирусных или антибактериальных препаратов, промывание горла антисептическими растворами, применение обезболивающих препаратов или просто покой и увлажнение воздуха в помещении.
Полезные советы
СОВЕТ №1
Обратитесь к педиатру. Если у вашего ребенка красное горло не проходит длительное время или сопровождается другими симптомами, такими как высокая температура или затрудненное дыхание, важно обратиться к врачу. Только квалифицированный специалист сможет поставить правильный диагноз и назначить соответствующее лечение.
СОВЕТ №2
Обеспечьте ребенку покой и уют. Важно, чтобы ребенок отдыхал и не перенапрягал свое горло. Постарайтесь создать спокойную и комфортную атмосферу в доме, избегая шумных и перегруженных ситуаций.
СОВЕТ №3
Предоставьте ребенку достаточно жидкости. Регулярное питье помогает увлажнить горло и облегчить дискомфорт. Предложите ребенку теплые напитки, такие как травяные чаи или теплую воду с медом и лимоном. Избегайте холодных напитков и продуктов, которые могут раздражать горло, таких как кислые соки или острые специи.
Вирусные или бактериальные инфекции. Их может быть несколько и позже рассмотрим каждую из них. В этом случае, конечно, без помощи доктора не обойтись.










